 | | | برای حفظ زيبايی دهان و خنده ی قشنگ بايد توجه به دندان های سالم داشت. |
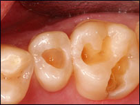
پوسيدگی دندان، به تخريب دندان های گفته می شود که در اثر ميکروب ها در حفره دندا ن ذرات فاسد غذا جاگرفته باشد و مواد در درز های دندان گنديده باشد که دردهای شد يد را هم در پی داشته می تواند. نشستن و بی توجهی، باعث تجمع ذرات فاسد غذا ميان دندان ها شده به مرور زمان دندان را پوسيده می سازد. به وجود آمدن لکه های سياه در دندان ها، احساس درد موقع جويدن غذا و تشديد درد های قسمی در نواحی مختلف دندان نشانه های پوسيده شدن دندان است. در صورتی که کرم خوردگی دندان ها تداوی نشود، بيماری پيشرفت کرده باعث تخريب و از بين رفتن دندان می شود. دوری از آنچه که باعث پوسيده شدن دندان ها می شود ونشکستن چيز های سخت با دندان تا حدی از پوسيده شدن يا کرم خوردگی دندان ها جلوگيری می کند.  | | | تجمع ذرات فاسد غذا ميان دندان ها به مرور زمان دندان را پوسيده می سازد. |
علاج اين بيماری، مراجعه به دندانپزشک است. در صورتی که ممکن باشد، در هر شش ماه يک بار مراجعه به داکتر می تواند از بروز بسا از مشکل ها جلوگيری کرد. |