| You are in: Health | ||||||||||||||||||||||||||||||||||||||||||||||||||||||||||||||||||||||||||||||||||||||||||||||||||||||||||||||||||||||||||||||||||||||||||||||||||||||||||||||||||||||||||||||
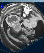
| Tuesday, 1 October, 2002, 10:16 GMT 11:16 UK 3D images transform cancer surgery ![]() Surgeons can watch the image while feeling the tumour Surgeons in Manchester are using 3D graphics to transform operations on cancer patients. Doctors at Manchester Royal Infirmary use the latest computer technology to take 3D images of cancer tumours. That image is then beamed onto a wall in the operating theatre to guide the surgeon during the procedure.
"We work with cancers in the liver or pancreas," says Mr Rory McCloy, a consultant surgeon at the hospital. "These tumours are deep inside the abdomen. It is major surgery to get these cancers out. If you cut across the tumour you can spread the cancer around the body. "By looking at the scan on the wall, we can almost practise before we start to try to remove it. "We can move the image around while at the same time holding the tumour inside the patient's body." Early stages Mr McCloy first used the technology during an operation on one patient in April. He is now planning to use it more widely over the coming months.
"We are going to do a series of patients over the next 12 months to demonstrate how much it increases the accuracy of the surgery and benefits patients," he told BBC News Online. "During that time we will also be looking to see whether we can link other hospitals in the area to the computer." The system is based on Visual Area Network technology developed by computer company SGI. Surgeons are able to move the image by using a joystick. SGI is currently working on new technology which would enable the image to be rotated by voice commands or simple gestures. This would overcome hygiene fears about the joystick. Chodi Reynolds, a director at SGI, said the company was committed to developing technology to help the medical sector. "Medical professionals now have, right in the operating room or medical office, the visualisation capabilities previously available only on high-end graphics computers." |
See also: 09 Oct 98 | Health 25 May 99 | Health 30 Jan 01 | Health Internet links: The BBC is not responsible for the content of external internet sites Top Health stories now: Links to more Health stories are at the foot of the page. | ||||||||||||||||||||||||||||||||||||||||||||||||||||||||||||||||||||||||||||||||||||||||||||||||||||||||||||||||||||||||||||||||||||||||||||||||||||||||||||||||||||||||||||
Links to more Health stories |
![]() | ||
| ---------------------------------------------------------------------------------- To BBC Sport>> | To BBC Weather>> | To BBC World Service>> ---------------------------------------------------------------------------------- © MMIII | News Sources | Privacy |